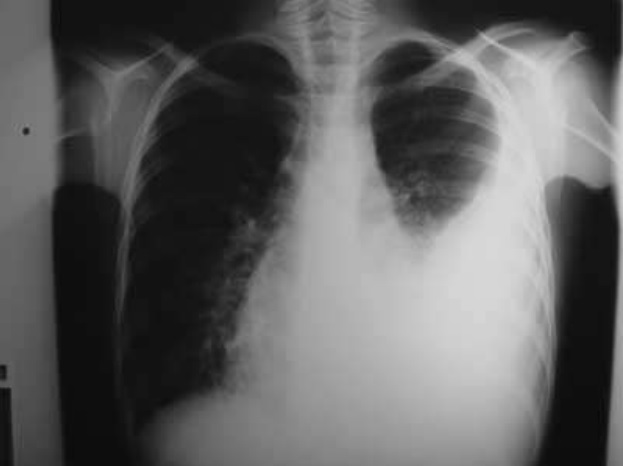
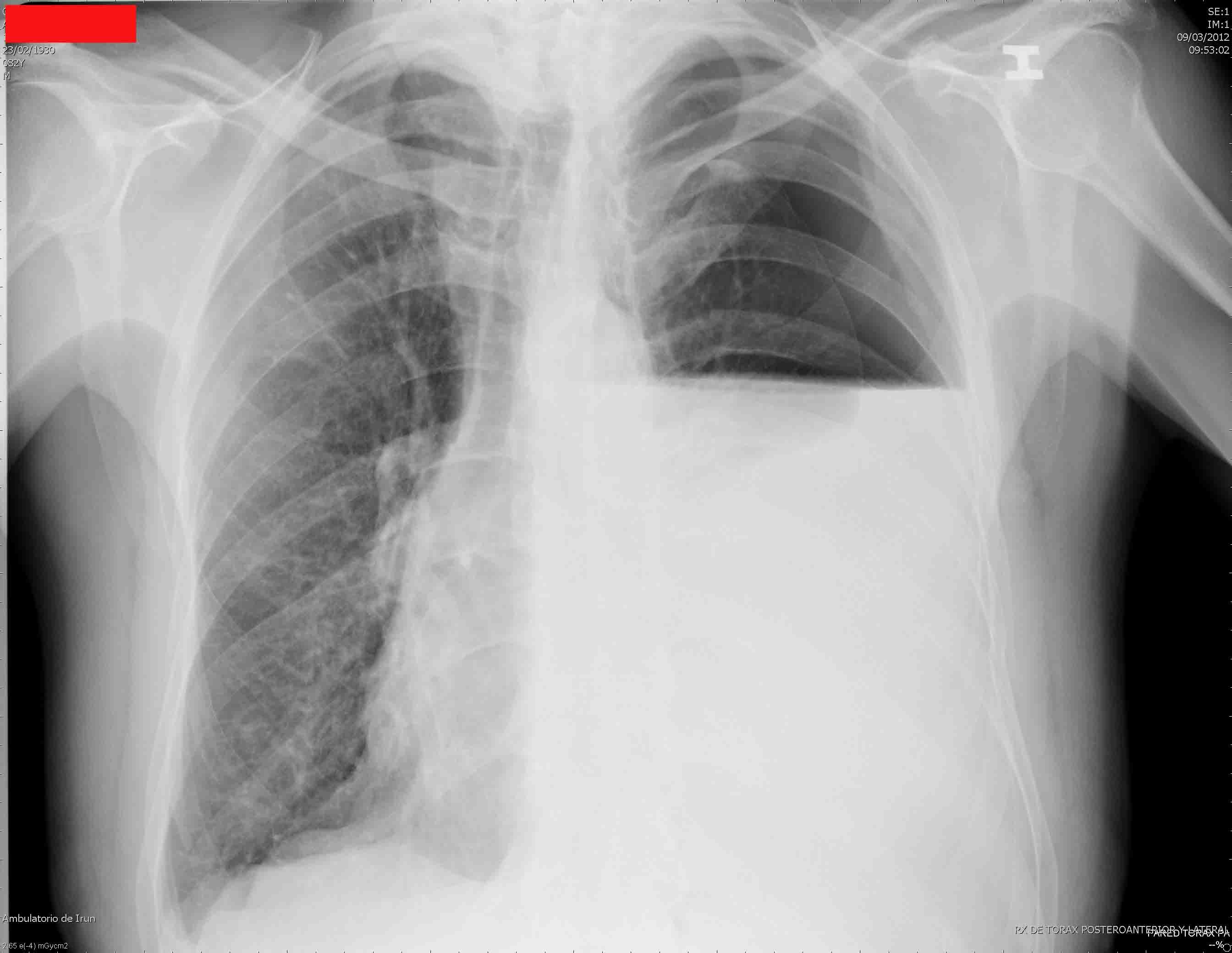
- La acumulación de líquido en la cavidad pleural puede ser pequeña (500-1000 ml), mediana más de 1500 ml; o grande más de 3000 ml; puede ser libre o enquistado; y finalmente, puede ser un trasudado (hidrotórax), un exudado serofibrinoso (pleuresía), un exudado purulento (empiema) o sangre pura (hemotórax). La sinología va a depender en gran parte de estas variables pero, tomando como ejemplo un derrame pleural libre y de más que mediano volumen, tendremos:
|
Se acumula líquido en el espacio pleural que bloquea la transmisión de los sonidos |
Inspección
Palpación
Percusión
Auscultación
|
La curva de Ellis-Damoiseau es una línea de concavidad superior que se obtiene por percusión o Rx, e indica el límite de un derrame pleural.

