
- Paciente de 57 años de edad, fumador de 20 cigarrillos al día desde que tenía 20 años (índice paquetes/año de 37), con antecedentes de hipertensión arterial tratada con inhibidores de la enzima convertidora de la angiotensina, dislipidemia y diabetes tipo 2 tratada con antidiabéticos orales. Era independiente para las actividades de la vida diaria y trabajaba de administrativo. Fue derivado a la consulta de neumología por el médico de Atención Primaria por presentar disnea progresiva. Cuando acudió a nuestra consulta, se realizó una anamnesis minuciosa en la que el paciente refería que llevaba varios años con disnea de esfuerzo, pero al no limitarle en sus actividades diarias no consultó. Sin embargo, exponía que desde hacía varios meses, actividades que hasta hacía poco podía desarrollar con normalidad le fueron resultando dificultosas (subir escaleras, cuidar el jardín, cargar peso, etc.). El cuadro clínico fue empeorando progresivamente hasta el punto de tener disnea cuando andaba en llano unos 100 metros aproximadamente. También refería varios catarros anuales con tos y expectoración verdosa con toma de antibioterapia una vez al año.
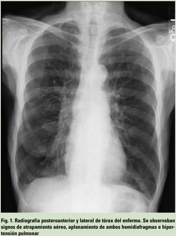
- En la exploración física se observaba un paciente delgado, con IMC 20 kg/m2, sin apenas panículo adiposo, con algunos signos de cianosis en piel y mucosas. La auscultación pulmonar revelaba un murmullo vesicular disminuido en ambos campos pulmonares y la frecuencia respiratoria era de 22 respiraciones por minuto; la auscultación cardíaca era rítmica y sin soplos, con una frecuencia cardíaca de 86 latidos por minuto. La tensión arterial era de 135/78 mm Hg y la saturación de oxígeno medida por pulsioximetría del 91%. El paciente no tenía acropaquias y el resto de la exploración física no mostraba alteraciones significativas.
El Índice de Paquetes Año (IPA = número de cigarrillos al día x número de años fumando / 20) es una medida utilizada para estimar la cantidad de cigarrillos que una persona ha fumado a lo largo de su vida. El IPA es un criterio estándar utilizado para evaluar el riesgo de desarrollar enfermedades relacionadas con el tabaquismo, como la enfermedad pulmonar obstructiva crónica (EPOC) y el cáncer de pulmón. Es importante tener en cuenta que el IPA es una medida aproximada y no tiene en cuenta otros factores de riesgo o la forma en que se fuma cada cigarrillo.
